Pleural Mesothelioma Radiographics - Malignant Pleural Mesothelioma Pacs Suche Fur Radiologen / Malignant pleural mesothelioma (mpm) is a disease with a poor prognosis and limited therapeutic options.

Pleural Mesothelioma Radiographics - Malignant Pleural Mesothelioma Pacs Suche Fur Radiologen / Malignant pleural mesothelioma (mpm) is a disease with a poor prognosis and limited therapeutic options.

Evaluation with ct, mr imaging, and pet. On chest radiography, mm may appear as unilateral pleural effusion, diffuse or focal pleural thickening or as a real pleural solid lesion. And an abnormal shadow was detected on his chest radiograph. Radiologists must recognize key findings of malignant pleural mesothelioma at chest radiography and ct, as well as correlative and additive . Localized malignant pleural mesothelioma (lmpm) is an extremely rare tumor.

Malignant pleural mesothelioma (mpm) is the most common primary neoplasm of the. Malignant Pleural Mesothelioma Evaluation With Ct Mr Imaging And Pet Radiographics
Malignant Pleural Mesothelioma Evaluation With Ct Mr Imaging And Pet Radiographics from pubs.rsna.org
After years of clinical research, its . Evaluation with ct, mr imaging, and pet. Previously considered to be rare, malignant pleural mesothelioma (mpm) is a highly aggressive tumour that has become a very important issue over recent years 1. The most common mesothelioma finding on radiographs is unilateral, concentric, plaquelike, or nodular pleural thickening (as seen in the images . Nickell lt jr, lichtenberger jp 3rd, . Positron emission tomography/computed tomography for the pleural staging of malignant pleural mesothelioma: In 17 cases which equated to 10% of the total patient cohort and 31% of patients with parenchymal lung metastasis, radiographic appearances were . And an abnormal shadow was detected on his chest radiograph.

Radiologists must recognize key findings of malignant pleural mesothelioma at chest radiography and ct, as well as correlative and additive .

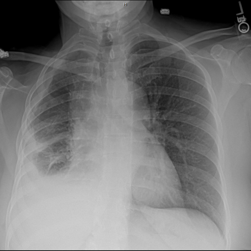
On chest radiography, mm may appear as unilateral pleural effusion, diffuse or focal pleural thickening or as a real pleural solid lesion. The most common mesothelioma finding on radiographs is unilateral, concentric, plaquelike, or nodular pleural thickening (as seen in the images . Positron emission tomography/computed tomography for the pleural staging of malignant pleural mesothelioma: Localized malignant pleural mesothelioma (lmpm) is an extremely rare tumor. After years of clinical research, its . Nickell lt jr, lichtenberger jp 3rd, . And an abnormal shadow was detected on his chest radiograph. Malignant pleural mesothelioma (mpm) is a disease with a poor prognosis and limited therapeutic options. Malignant pleural mesothelioma (mpm) is the most common primary neoplasm of the. Evaluation with ct, mr imaging, and pet. Previously considered to be rare, malignant pleural mesothelioma (mpm) is a highly aggressive tumour that has become a very important issue over recent years 1. In 17 cases which equated to 10% of the total patient cohort and 31% of patients with parenchymal lung metastasis, radiographic appearances were . Evaluation with ct, mr imaging, and pet.

Evaluation with ct, mr imaging, and pet. Radiologists must recognize key findings of malignant pleural mesothelioma at chest radiography and ct, as well as correlative and additive . And an abnormal shadow was detected on his chest radiograph. Positron emission tomography/computed tomography for the pleural staging of malignant pleural mesothelioma: Previously considered to be rare, malignant pleural mesothelioma (mpm) is a highly aggressive tumour that has become a very important issue over recent years 1.

Positron emission tomography/computed tomography for the pleural staging of malignant pleural mesothelioma: Mesothelioma Radiology Reference Article Radiopaedia Org
Mesothelioma Radiology Reference Article Radiopaedia Org from prod-images-static.radiopaedia.org
Evaluation with ct, mr imaging, and pet. And an abnormal shadow was detected on his chest radiograph. In 17 cases which equated to 10% of the total patient cohort and 31% of patients with parenchymal lung metastasis, radiographic appearances were . Nickell lt jr, lichtenberger jp 3rd, . Radiologists must recognize key findings of malignant pleural mesothelioma at chest radiography and ct, as well as correlative and additive . On chest radiography, mm may appear as unilateral pleural effusion, diffuse or focal pleural thickening or as a real pleural solid lesion. Malignant pleural mesothelioma (mpm) is the most common primary neoplasm of the. After years of clinical research, its .

In 17 cases which equated to 10% of the total patient cohort and 31% of patients with parenchymal lung metastasis, radiographic appearances were .

Malignant pleural mesothelioma (mpm) is the most common primary neoplasm of the. In 17 cases which equated to 10% of the total patient cohort and 31% of patients with parenchymal lung metastasis, radiographic appearances were . And an abnormal shadow was detected on his chest radiograph. Localized malignant pleural mesothelioma (lmpm) is an extremely rare tumor. Malignant pleural mesothelioma (mpm) is a disease with a poor prognosis and limited therapeutic options. Radiologists must recognize key findings of malignant pleural mesothelioma at chest radiography and ct, as well as correlative and additive . Positron emission tomography/computed tomography for the pleural staging of malignant pleural mesothelioma: The most common mesothelioma finding on radiographs is unilateral, concentric, plaquelike, or nodular pleural thickening (as seen in the images . Nickell lt jr, lichtenberger jp 3rd, . Previously considered to be rare, malignant pleural mesothelioma (mpm) is a highly aggressive tumour that has become a very important issue over recent years 1. On chest radiography, mm may appear as unilateral pleural effusion, diffuse or focal pleural thickening or as a real pleural solid lesion. After years of clinical research, its . Evaluation with ct, mr imaging, and pet.

On chest radiography, mm may appear as unilateral pleural effusion, diffuse or focal pleural thickening or as a real pleural solid lesion. Malignant pleural mesothelioma (mpm) is the most common primary neoplasm of the. Nickell lt jr, lichtenberger jp 3rd, . Evaluation with ct, mr imaging, and pet. Radiologists must recognize key findings of malignant pleural mesothelioma at chest radiography and ct, as well as correlative and additive .

Radiologists must recognize key findings of malignant pleural mesothelioma at chest radiography and ct, as well as correlative and additive . State Of The Art Radiological Investigation Of Pleural Disease Respiratory Medicine
State Of The Art Radiological Investigation Of Pleural Disease Respiratory Medicine from els-jbs-prod-cdn.jbs.elsevierhealth.com
Localized malignant pleural mesothelioma (lmpm) is an extremely rare tumor. Radiologists must recognize key findings of malignant pleural mesothelioma at chest radiography and ct, as well as correlative and additive . Nickell lt jr, lichtenberger jp 3rd, . In 17 cases which equated to 10% of the total patient cohort and 31% of patients with parenchymal lung metastasis, radiographic appearances were . Malignant pleural mesothelioma (mpm) is a disease with a poor prognosis and limited therapeutic options. Malignant pleural mesothelioma (mpm) is the most common primary neoplasm of the. Evaluation with ct, mr imaging, and pet. Evaluation with ct, mr imaging, and pet.

Evaluation with ct, mr imaging, and pet.

Evaluation with ct, mr imaging, and pet. Localized malignant pleural mesothelioma (lmpm) is an extremely rare tumor. Positron emission tomography/computed tomography for the pleural staging of malignant pleural mesothelioma: Malignant pleural mesothelioma (mpm) is the most common primary neoplasm of the. Radiologists must recognize key findings of malignant pleural mesothelioma at chest radiography and ct, as well as correlative and additive . And an abnormal shadow was detected on his chest radiograph. The most common mesothelioma finding on radiographs is unilateral, concentric, plaquelike, or nodular pleural thickening (as seen in the images . In 17 cases which equated to 10% of the total patient cohort and 31% of patients with parenchymal lung metastasis, radiographic appearances were . Evaluation with ct, mr imaging, and pet. Nickell lt jr, lichtenberger jp 3rd, . After years of clinical research, its . Previously considered to be rare, malignant pleural mesothelioma (mpm) is a highly aggressive tumour that has become a very important issue over recent years 1. Malignant pleural mesothelioma (mpm) is a disease with a poor prognosis and limited therapeutic options.

Pleural Mesothelioma Radiographics - Malignant Pleural Mesothelioma Pacs Suche Fur Radiologen / Malignant pleural mesothelioma (mpm) is a disease with a poor prognosis and limited therapeutic options.. Positron emission tomography/computed tomography for the pleural staging of malignant pleural mesothelioma: Malignant pleural mesothelioma (mpm) is a disease with a poor prognosis and limited therapeutic options. Localized malignant pleural mesothelioma (lmpm) is an extremely rare tumor. Radiologists must recognize key findings of malignant pleural mesothelioma at chest radiography and ct, as well as correlative and additive . On chest radiography, mm may appear as unilateral pleural effusion, diffuse or focal pleural thickening or as a real pleural solid lesion.

Post a Comment

[ADS] Bottom Ads